
Keramikbrackets sind eine sehr gute unsichtbare Alternative.
Keramikbrackets sind eine perfekte Alternative zur Behandlung mit Alignern. Wir kommen mit beiden Methoden zum perfekten Lächeln.
Sanfte Kräfte bewegen die Zähne
Die Wechselwirkung der befestigten Zahnspange mit dem Zahn bewirkt eine kontrollierte Zahnbewegung. Die Übertragung der geringen Kräfte erfolgt über den Drahtbogen. Am Ende steht ein perfektes Ergebnis. Wir nennen das perfect smile Kieferorthopädie.
Grazile Brackets auf den Zähnen sind zur kontrollierten Zahnbewegung notwendig.
Die Brackets übertragen sanfte kontrollierte Kräfte auf die Zähne Die Zahnbewegung erfolgt in kleinen Schritten. Es wirken schwache Druckkräfte 0,15-0,2 N/cm2 Diese Kräfte sind so gering, dass Sie den kapilaren Blutstrom nicht unterbinden.
Es gibt bei Brackets extreme Unterschiede in der Qualität.
Wir bieten unseren Patienten ausschließlich Materialien an, die wir auch bei unseren Kindern anwenden. Es gibt extreme Unterschiede in der Qualität und im Bracketdesign.

Es müssen nicht immer Keramikbrackets sein. Selbstlegierende Brackets sind konventionellen Brackets weit überlegen.
Hier ist die Reinigung erheblich erschwert. Da das Bracketdesign die Ablagerung von Plaque begünstigt.
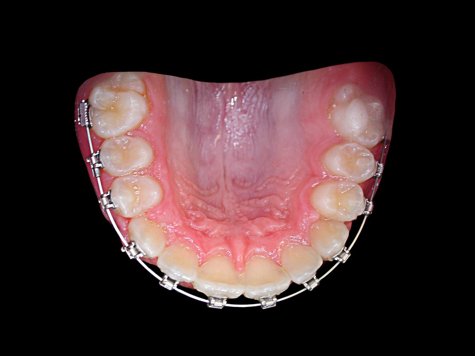
Hier handelt es sich um ein selbstligierendes Bracket. Der Vorteil ist, dass es weniger Ablagerungsmöglichkeiten von Plaque gibt.
Hier handelt es sich um ein selbstligierendes Bracket. Vorteil extrem flaches Bracketdesign und ausgezeichneter Tragekomfort.